| چکیده: |
| برخی افراد معمولاً موقع عکس گرفتن تلاش میکنند دندانهای خود را پنهان کنند. اغلب آنها از رنگ زرد دندانهایشان ناراضی بوده و احساس شرم میکنند. امروزه داشتن دندانهای سالم و زیبا اهمیت زیادی دارد و به همین خاطر است که تعداد کسانی که از سفیدکنندههای دندان استفاده میکنند یا برای سفید کردن دندانهایشان به دندانپزشک مراجعه میکنند هر روز بیشتر و بیشتر میشود. |
دندانهایتان در برخورد با اشخاص اولین چیزی است که به چشم میخورد. وقتی کسی که برای اولین بار شما را میبیند، متوجه زردی دندانهایتان شود، این پیام به او ارسال خواهد شد که شما مراقب سلامت خود نیستید. آیا کسی هست که دوست نداشته باشد لبخندی زیبا با دندانهای سفید و درخشان داشته باشد؟ بهترین راه سفید کردن دندان چیست؟
بعضی از افراد هر چند بار که در روز دندانهایشان را مسواک بزنند، به دلیل عاداتی چون نوشیدن قهوه و چای یا سیگار کشیدن، دندانهایشان لکهدار و زرد است. دندانهای زرد یا مایل به قهوهای در بیشتر موارد نشاندهندهی وجود یک مشکل بزرگتر است: لثههای ناسالم، نازک شدن مینای دندان و عدم رعایت بهداشت دهان و دندان. درست است که سفید کردن دندانها به محافظت از دندانها و لثهها در برابر پوسیدگی و بیماریهایی چون التهاب لثه کمکی نمیکند، اما همهی ما میخواهیم دندانهای سفید و درخشان داشته باشیم.
بنا به گزارش یک دندانپزشک در وبسایت Dentistry IQ، «تصور اشتباهی وجود دارد که دندانهای سفید را معادل دندانهای سالم میداند، درصورتیکه رنگ دندان ارتباط کمی با سلامت آن دارد، به هر حال برداشت مصرف کننده این است که دندانهای سفید نشانهی یک دهان سالم است و این برداشت درستی است.»
در اینجا روش های سنتی را به شما معرفی میکنیم که با بهکارگیری آنها میتوانید دندانهایتان را بهطور طبیعی سفید و درخشان کنید و در ضمن، بهداشت دهانتان را بهبود بدهید. مرتب مسواک زدن و نخ دندان کشیدن، استفاده از جوششیرین و پروکسید هیدروژن، غرغرهی روغن نارگیل و محصولاتی چون سرکه سیب، همگی میتوانند بدون نیاز به مواد شیمیایی دندانهایتان را سفید کنند، و ضمنا خواص آنتیباکتریالی و پیشگیری از عفونت نیز دارند.
حتما بخوانید:
چگونه دندان های زرد را سفید و زیبا کنیم؟
چرا دندان ها زرد میشوند؟
دندانها به دلیل لکههایی که روی سطح دندان (مینا) و همچنین در بخش پایینتر ساختمان دندان ایجاد شده و گسترش پیدا میکنند، زرد یا حتی قهوهای رنگ میشوند. رویهی سفید یا همان مینای دندان، سفت و سخت است. زیر مینای دندان، مادهای به رنگ قهوهای کمرنگ وجود دارد که به آن عاج میگویند. اگر مینای دندان نازک شود، عاج دندان نمایان میشود که در میان بزرگسالان شایع است. خرابی دندان از تباهی مزمن بافت سخت دندان ناشی میشود که به دلیل اسید یا chelation، بدون دخالت باکتریایی، از سطح دندان زدوده شده است. اما علت نازک شدن مینای دندان چیست؟ عواملی چون افزایش سن، ژنتیک و مصرف غذاهایی که باعث پوسیدگی یا لک شدن دندان میشوند، از دلایل نازک شدن مینای دندان است. بسیاری از عادات ناسالم میتوانند ریسک بیماریهای لثه را نیز افزایش دهند.
هرچند منطقی نیست که انتظار داشته باشیم دندانهایمان با بالا رفتن سن، همچنان سفید و درخشان باقی بمانند، اما میتوانیم از عواملی که تغییر رنگ دندانها را تسریع میکنند اجتناب کنیم.
برخی از دلایل زرد یا تیره شدن دندانها عبارتند از:
- نوشیدن چای یا قهوه؛
- سیگار کشیدن؛
- نازک شدن مینای دندان به دلیل بالا رفتن سن؛
- تغذیهی نادرست که شامل مصرف بیش از حد غذاهای فرآوریشده با محتوای اسیدی بالاست مانند بعضی از انواع نوشیدنیها، شکلات یا گاهی برخی میوهها. حتی بعضی از مکملها نیز به دلیل دارا بودن اسید، نازک شدن مینای دندان را تشدید میکنند.
- خشکی دهان (کم بودن بزاق دهان یعنی محافظت ضعیف از مینای دندان)؛
- با دهان نفس کشیدن و بسته بودن راههای هوایی بینی که باعث کاهش بزاق شده و اجازه نمیدهند دهان و دندانها مرطوب بمانند؛
- مصرف آنتیبیوتیک؛
- مصرف بیش از حد فلوراید، مخصوصا اگر این عادت از کودکی شروع شده باشد؛
- عوامل ژنتیکی.
سفید کردن دندان ها به شیوه های سنتی
بهترین راه سفید کردن دندانها این است که بعد از هر بار خوردن و آشامیدن دندانهایتان را مسواک بزنید، هرچند همیشه هم کار راحتی نیست! و بسته به اینکه هنگام خوردن یا نوشیدن کجا هستید (مثلا در مدرسه یا در محل کار) ممکن است کار دشواری باشد.
اجتناب از سیگار کشیدن و مصرف زیاد قهوه و نوشابه، بهبود وضعیت بهداشت دهانی و تغذیهی درست به پیشگیری از زرد شدن دندانها کمک میکند. اگر عادت دارید مدام نوشابه بنوشید، بهتر است از نی استفاده کنید. بعد از نوشیدن نوشابههای شیرین یا اسیدی، حتما مقداری آب میل کنید. سعی کنید مصرف نوشابه را به حداقل برسانید تا از عوارض آن مصون بمانید.
حتما بخوانید:
با این روش ها پلاک دندان را از حذف کنید
بیشتر غذاها دندان را لک نمیکنند، اما اگر به نوشیدن قهوه یا کشیدن سیگار عادت دارید نباید دور از انتظارتان باشد که به مرور زمان دندانهایتان تغییر رنگ بدهند. بهتر است هر سه ماه یکبار دندانهایتان را جرمگیری کنید و این راهکارهای خانگی را نیز بهکار ببرید.
۲ – خمیر جوش شیرین و پراکسید هیدروژن
۳ – استفاده از خمیر نمک دریا و جوش شیرین به عنوان خمیر دندان
۴ – مسواک زدن با خمیر پودر زردچوبه
حتما بخوانید:
آنچه باید در مورد کاشت دندان یا ایمپلنت بدانیم
۵ – سفید کردن دندان ها با خمیر آب لیمو و جوش شیرین
۶ – قرقره روغن نارگیل و مسواک زدن
۷ – شستشوی دندان با سرکه سیب و ضدعفونی کردن
۸ – ضدعفونی دهان و دندان با جوش شیرین، خمیر دندان و هیدروژن پراکسید
۹ – خمیر دندان سفید کننده خانگی با اسانس های روغن
۱۰ – خمیر دندان سفید کننده خانگی با زردچوبه
حتما بخوانید:
از بین بردن جرم دندان با پوست گردو
۱۲ – خمیر سفید کننده دندان توت فرنگی و جوش شیرین
۱۳ – ساییدن پوست موز روی دندان ، سفید کننده فوری دندان
۱۴- سفید کردن دندان با زغال فعال
طرز استفاده:
زغال فعال نوعی زغال است که روزنههای بسیار ریز دارد و میتواند مواد مایع مانند آب را از داخل خود عبور بدهد. اساسیترین تفاوت میان زغال فعال و زغال معمولی وجود این روزنههاست. از زغال فعال برای به دام انداختن سموم بدن استفاده میشود که میتواند با جذب پلاکها و ذرات میکروسکوپی که عامل لک شدن دندانها هستند،
دندانهایتان را سفید کند. یک مسواک مرطوب را به پودر زغال فعال آغشته کنید و مسواک بزنید، مخصوصا قسمتهایی که لکههای بیشتری دارد. سپس با چند جرعه آب و چرخاندن آن در دهان، به خوبی آبکشی کنید تا وقتی که آبی که از دهان بیرون میریزید شفاف باشد. بهتر است دو تا سه بار در هفته با زغال فعال مسواک بزنید اما اگر روکش، کاپ یا ونیر (لمینت) چینی دارید، این راهکار مناسب شما نیست.
حتما بخوانید:
مسواک زدن منظم دندان ها، قلب شما را سالم نگه می دارد
هشدارها:
در پایان ضرورت دارد در مورد سفید کننده های رایج در بازار و خطرات ناشی از استفاده آنها توضیحاتی را اضافه کنم.
خطرات سفید کنندههای رایج در بازار
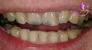
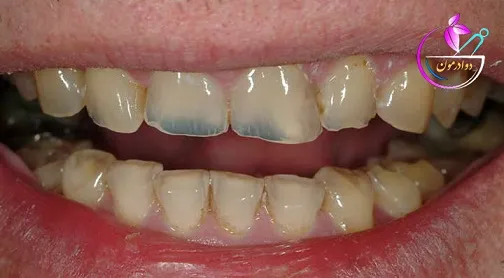
هر چند خیلیها دوست دارند دندانهایی سفیدتر و درخشانتر داشته باشند، اما هستند کسانی که دچار وسواس فکری شده و به این کار وابسته شدهاند. دکتر ایروین اسمیگل (Irwin Smigel)، سرپرست انجمن دندانپزشکی زیبایی آمریکا در مورد مد شدن سفید کردن دندانها میگوید: «افرادی هستند که ظاهرا هرگز به رضایت نمیرسند؛ دیدهام کسانی را که به دلیل زیادهروی در سفید کردن دندانها (بلیچ کردن) و آسیبی که به همین خاطر به بافتها وارد شده نیاز به روت کانال پیدا کردهاند، بخشی از مینای دندانهایشان از بین رفته و دندانها نیمهشفاف، غیرطبیعی و آبی یا خاکستری رنگ شدهاند.
پژوهشها نشان داده است که محصولات سفید کننده دندان میتوانند با نازک کردن مینای دندان به آن آسیب بزنند. استفادهی مکرر از این محصولات به مرور زمان موجب فرسایش مینای دندان میشود و حساسیت دندان را مخصوصا هنگام خوردن مایعات گرم و سرد یا غذاهای اسیدی بیشتر میکند. دندانپزشکان آکادمی آمریکایی Cosmetic Dentistry گفتهاند: «تمام محصولاتی که در مطب دندانپزشکان استفاده میشود و نیز محصولاتی که بدون نیاز به نسخه فروخته میشوند بیضررند،
اما در میان آنها محصولات اسیدیای وجود دارد که اگر بیش از اندازه مصرف شوند، به دندانها آسیب میرسانند.» نتیجه اینکه جهت مراقبت بهتر از دندانها باید از این محصولات در حد اعتدال و ترجیحا بعد از بهکار بردن راهکارهای طبیعی استفاده کنید.
محصولات سفیدکنندهی دندان تنها باید با مشورت دندانپزشک مصرف شوند. یادتان باشد این مواد موقتا دندانها را سفید میکنند و اثرات طولانیمدت ندارند. بهترین راه سفید کردن دندانها این است که تغذیهی سالم داشته باشید، هر روز دندانها و لثههایتان را مسواک بزنید و خوب آبکشی کنید و مصرف چای، قهوه و خوراکیهای شیرین را به حداقل برسانید. اولین اقدامی که باید انجام بدهید این است که اگر سیگار میکشید آن را ترک کنید! و البته در هر سنوسالی که هستید، با کمک یک محصول خانگی، طبیعی و بیخطر، هر روز به دندانهایتان رسیدگی کنید و به آنها عشق بورزید.
آیا سفیدکنندههای طبیعی نیز ممکن است به دندانها آسیب بزنند؟
بله! برخی سفیدکنندههای طبیعی نیز میتوانند مینای دندان را از بین ببرند و به همین دلیل مصرف آنها توصیه نمیشود برای مثال آب لیموترش. همانطور که گفتیم پوست لیموترش یک راهکار خوب و سالم برای سفید کردن دندانهاست اما آب لیموترش اسید بسیار قویای است. اسید موجود در آب لیموترش برای سفید کردن پارچه و لباس، درخشان کردن موها و برطرف کردن لکههای مبل و پرده بسیار عالی است، اما نباید از آن برای سفید کردن دندانها و تمیز کردن لثهها استفاده کنید. به علاوه اسید میتواند در دندانهایتان حفرههای ریزی ایجاد کند و بنابراین هر نوع خوراکی که مستعد لکهدار کردن است وارد این حفرهها شده و در آنجا باقی میماند. اسید لیموترش آنقدر قوی است که در نهایت میتواند دندان را خالی و نابود کند!
برای استفادهی مناسب و به اندازه از هر نوع محصول سفیدکنندهی دندان، بهتر است مقدار کمی از آن را بهکار ببرید، دستورالعملها را جدی بگیرید و به علائمی که نشاندهندهی تشدید حساسیت هستند توجه داشته باشید.
دوا درمون معرفی گیاهان داروئی

















